Pericardial Disease - Pericardial Cyst

← Back to List

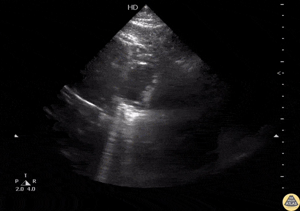
Pericardial Disease - Pericardial Cyst

Caption

This subcostal view shows cysts located on the pericardium. A benign and rare finding to be aware of while performing an echo. Image courtesy of Robert Jones DO, FACEP @RJonesSonoEM Director, Emergency Ultrasound; MetroHealth Medical Center; Professor, Case Western Reserve Medical School, Cleveland, OH View his original post here

Source

https://www.thepocusatlas.com/pericardial-disease


Metadata