Pericardial Disease - Confirmation of Needle Placement For Pericardiocentesis

← Back to List

Pericardial Disease - Confirmation of Needle Placement For Pericardiocentesis

Caption

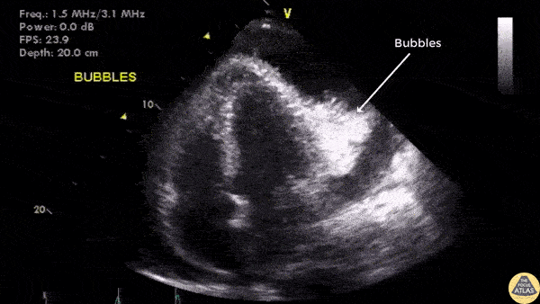
Initial stage of the pericardiocentesis. Agitated saline was injected to confirm needle location prior to withdrawing bloody fluid. Image courtesy of Robert Jones DO, FACEP @RJonesSonoEM Director, Emergency Ultrasound; MetroHealth Medical Center; Professor, Case Western Reserve Medical School, Cleveland, OH View his original post here

Source

https://www.thepocusatlas.com/pericardial-disease


Metadata