Pericardial Disease - Attempted Pericardiocentesis

← Back to List

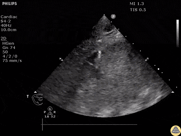
Pericardial Disease - Attempted Pericardiocentesis

Caption

Patient had PEA arrest. View of the heart revealed pericardial effusion. The needle entering the pericardium can been seen in this clip. Image courtesy of Robert Jones DO, FACEP @RJonesSonoEM Director, Emergency Ultrasound; MetroHealth Medical Center; Professor, Case Western Reserve Medical School, Cleveland, OH View his original post here

Source

https://www.thepocusatlas.com/pericardial-disease


Metadata