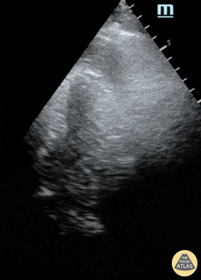
Pericardial Disease - Pericardial Effusion noted during CPR

← Back to List

Pericardial Disease - Pericardial Effusion noted during CPR

Caption

POCUS obtained during a cardiac arrest demonstrates both CPR in progress as well as a large pericardial effusion. This patient had been waiting for CT aortogram to further evaluate severe back pain prior to onset of arrest. The pericardial collection appears hyperechoic indicating clotted blood (most likely secondary to a Type A aortic dissection). An attempt at needle aspiration was unsuccessful and the patient died. Peter Cheng

Source

https://www.thepocusatlas.com/pericardial-disease


Metadata