Pericardial Disease - Cardiac Tamponade secondary to Type A Aortic Dissection

← Back to List

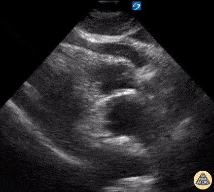
Pericardial Disease - Cardiac Tamponade secondary to Type A Aortic Dissection

Caption

A 72-year-old male presented with syncope and was found to be hypotensive. POCUS revealed a large, circumferential pericardial effusion with tamponade physiology. Additional workup including chest CT revealed POCUS findings to be the consequence of a Type A aortic dissection (with blood extending back into the pericardial sac). Dr. John Cook, @J_County Dr. Tim Scheel, @tscheelEMUS

Source

https://www.thepocusatlas.com/pericardial-disease


Metadata