Pericardial Disease - Circumferential Pericardial Effusion with Tamponade

← Back to List

Pericardial Disease - Circumferential Pericardial Effusion with Tamponade

Caption

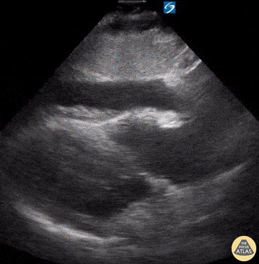
Seen here is the subcostal view of a patient with hemodynamic compromise. Note the circumferential area of anechoic fluid, resulting in dynamic right atrial and ventricular collapse as well as global hyperdynamic systolic function. It is important to remember that systolic right atrial collapse may be the earliest echocardiographic sign of tamponade. Diastolic right ventricular collapse indicates decreased cardiac output as a consequence of inappropriate right ventricular filling. Rupinder Sekhon, MD Central Michigan University, Emergency Medicine

Source

https://www.thepocusatlas.com/pericardial-disease


Metadata