Pericardial Disease - Hemopericardium From a Stab Wound

← Back to List

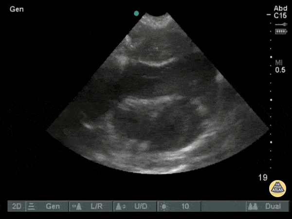
Pericardial Disease - Hemopericardium From a Stab Wound

Caption

This subxiphoid view of the heart was performed on a patient after a singular stab wound to the chest. From here, we can observe a large collection of blood within the pericardial sac (hemopericardium) with visible cardiac activity still occurring. Image courtesy of Robert Jones DO, FACEP @RJonesSonoEM Director, Emergency Ultrasound; MetroHealth Medical Center; Professor, Case Western Reserve Medical School, Cleveland, OH View his original post here

Source

https://www.thepocusatlas.com/pericardial-disease


Metadata