Pericardial Disease - Cardiac Tamponade Found During RUSH Exam

← Back to List

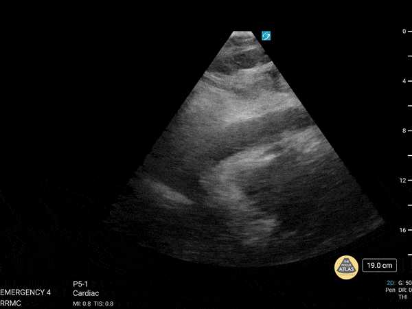
Pericardial Disease - Cardiac Tamponade Found During RUSH Exam

Caption

Here is an excellent of example of utilizing Rapid Ultrasound for Shock and Hypotension (RUSH). This was from a 77 year old patient who presented initially presented with progressive weakness and a fall while in the bathroom. His initial blood pressure was labile but not hypotensive. Workup revealed leukocytosis in the presence of anuria and was eventually admitted with broad spectrum antibiotics. Shortly after admission, he became increasingly hypotensive and required norepinephrine. RUSH performed initially with the intention of assessing IVC for fluid status however the image above was discovered. There is obvious right ventricular diastolic collapse in the presence of pericardial effusion, consistent with cardiac tamponade. Dr. Austin Shanks, MD, PGY-2 Riverside Regional Medical Center Emergency Medicine Residency (Newport News, VA)

Source

https://www.thepocusatlas.com/pericardial-disease


Metadata