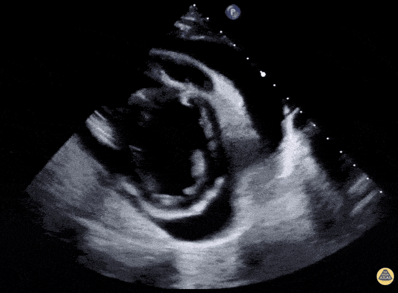
Pericardial Disease - SLE Pericardial Effusion in multiple views
Caption
20-year-old female patient, not known to have any medical illnesses. Presented to the ED complaining of generalized fatiguability, lightheadedness, exertional dyspnea, chest pain, palpitation, dry cough, and lower limb edema for 4 months, these symptoms has been intermittent and progressively worsening. Chest pain is position, aggravated by exertion and lying flat, relieved by rest and leaning forward. The patient also complains of hand joints pain and swelling, with temporary morning stiffness. The patient was tachycardic with a maintained BP. The patient’s clinical exam is positive for bilateral lung basal crepitation and bilateral lower limb pitting edema. Labs showed critically low Hb of 4.9 g/dL, ANA of 1:320, DAT+, and high agglutinin titer. Echo showed large pericardial effusion and evidence of early systolic collapse of right atrium (RA). The patient was diagnosed with systemic lupus erythematosus (SLE) and autoimmune hemolytic anemia with serositis. Hassan Alshaqaq, MBBS, Emergency Medicine Resident at King Saud University Medical City, Riyadh, Saudi Arabia. Twitter: @HassanAlshaqaq