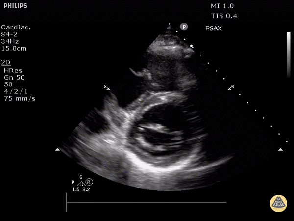
Normal Cardiac Anatomy - Normal Mitral Valve (Parasternal Short-Axis View)

← Back to List

Normal Cardiac Anatomy - Normal Mitral Valve (Parasternal Short-Axis View)

Caption

Justin Bowra MBBS, FACEM, CCPU Emergency Physician, RNSH et al.

Source

https://www.thepocusatlas.com/normal-cardiac-anatomy


Metadata