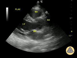
Normal Cardiac Anatomy - Normal Parasternal Long-Axis View

← Back to List

Normal Cardiac Anatomy - Normal Parasternal Long-Axis View

Caption

Justin Bowra MBBS, FACEM, CCPU Emergency Physician, RNSH et al.

Source

https://www.thepocusatlas.com/normal-cardiac-anatomy


Metadata