Normal Cardiac Anatomy - Normal Inferior Vena Cava
Caption
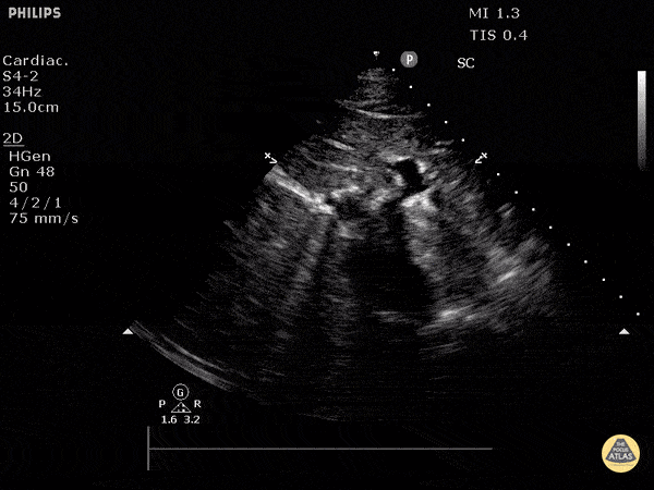
Normal IVC seen in transverse plane using a subxiphoid approach. Justin Bowra MBBS, FACEM, CCPU Emergency Physician, RNSH et al. (Dr. S Fares)
Normal IVC seen in transverse plane using a subxiphoid approach. Justin Bowra MBBS, FACEM, CCPU Emergency Physician, RNSH et al. (Dr. S Fares)