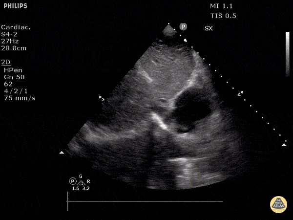
Normal Cardiac Anatomy - Inferior Vena Cava Emptyting into Right Atrium

← Back to List

Normal Cardiac Anatomy - Inferior Vena Cava Emptyting into Right Atrium

Caption

Normal IVC seen in longitudinal view, emptying into the right atrium. Justin Bowra MBBS, FACEM, CCPU Emergency Physician, RNSH et al.

Source

https://www.thepocusatlas.com/normal-cardiac-anatomy


Metadata