Normal Cardiac Anatomy - Subcostal Short Axis

← Back to List

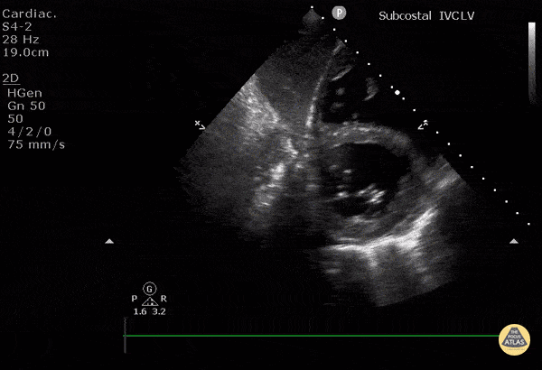
Normal Cardiac Anatomy - Subcostal Short Axis

Caption

WCUME17 Submission for "Novel Indication" Subcostal short axis view of the left ventricle can be useful if PSAX window is poor. A good alternative to estimate LV function. This image shows: LV in short axis at level of MV and the RV in short axis, and the interventricular septum. The liver is overlying. Technique: Start with IVC in long axis at entrance to RA and tilt transducer cephalad. Slide transducer to patient's right, fan transducer out to patient’s left. Dr. Cian McDermott - Dublin, Ireland

Source

https://www.thepocusatlas.com/normal-cardiac-anatomy


Metadata