Normal Cardiac Anatomy - Apical Four Chamber - Normal

← Back to List

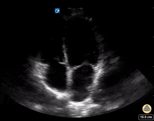
Normal Cardiac Anatomy - Apical Four Chamber - Normal

Caption

In this view we are able to visualize all four chambers of the heart. Clockwise from the top left of the screen we see the right ventricle, left ventricle, left atrium, and right atrium. We can also see the tricuspid valve between the RA and RV and the mitral valve between the LA and LV. Hannah Kopinski - MS4, Dr. Lindsay Davis - NYU/Bellevue Department of Emergency Ultrasound

Source

https://www.thepocusatlas.com/normal-cardiac-anatomy


Metadata