Normal Cardiac Anatomy - Subxiphoid / Subcostal - Normal

← Back to List

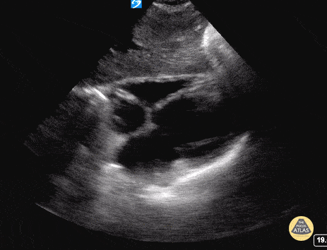
Normal Cardiac Anatomy - Subxiphoid / Subcostal - Normal

Caption

The most superficial structure we see is the liver. Immediately deep to that we see the heart separated from the liver by the diaphragm. Closest to the liver is the right atrium, tricuspid valve, right ventricle. Deeper to that, we see the left atrium, mitral valve, and left ventricle. Hannah Kopinski - MS4, Dr. Lindsay Davis - NYU/Bellevue Department of Emergency Ultrasound, Dr. Matthew Riscinti - Kings County Emergency Medicine

Source

https://www.thepocusatlas.com/normal-cardiac-anatomy


Metadata