Normal Cardiac Anatomy - Normal subcostal view

← Back to List

Normal Cardiac Anatomy - Normal subcostal view

Caption

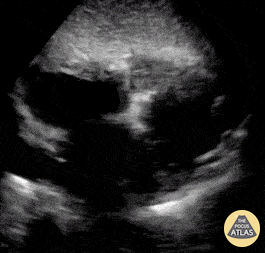
Seen here is a normal subcostal view of the heart. Note the hyperechoic strings (chordae tendenae) attaching to the cusps of mitral and tricuspid valves as well as to the ventricular walls via the papillary muscles. There is also notable absence of any hypoechoic pericardial fluid or effusion. Shahad Al Chalaby, MD. PGY2, Internal Medicine Highland Hospital, Alameda Health System Internal Medicine Residency Program. CA, USA @shahad_Chalaby

Source

https://www.thepocusatlas.com/normal-cardiac-anatomy


Metadata