Normal Cardiac Anatomy - Normal Parasternal Long Axis (PLAX) View

← Back to List

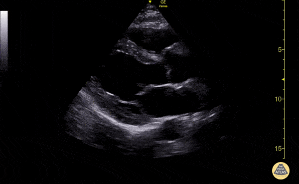
Normal Cardiac Anatomy - Normal Parasternal Long Axis (PLAX) View

Caption

Parasternal long axis view with normal ejection fraction Nigist Taddese MBChB. Division of Hospital Medicine, John H Stroger Hospital of Cook County

Source

https://www.thepocusatlas.com/normal-cardiac-anatomy


Metadata