Nerve Block Gallery - Fascia Iliaca Nerve Block Hydrodissection

← Back to List

Nerve Block Gallery - Fascia Iliaca Nerve Block Hydrodissection

Caption

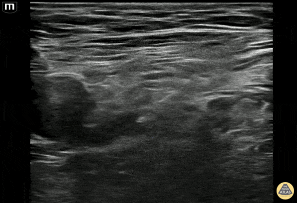
A 70s M w ground level fall pw a left femoral neck fracture. The needle can be seen approaching from the right of the screen (laterally) using an in-plane anteromedial approach. The pulsating left femoral artery is seen on the left of the screen (medial). Adequate hydrodissection is shown with 10cc of normal saline in the fascial space prior to depositing the anesthetic, 30cc of 0.2% ropivacaine. 45 minutes after administration, pain was significantly decreased and the patient was admitted for surgery. Dr. Brigit Noon, PGY-4, Denver Health Emergency Medicine Residency Dr. Matthew Riscinti, Ultrasound Fellowship Director, Denver Health Emergency Medicine Erick Otiniano, MS4, University of California Riverside School of Medicine

Source

https://www.thepocusatlas.com/nerve-blocks-gallery


Metadata