Nerve Block Gallery - Popliteal Sciatic Nerve Block for Foreign Body Removal

← Back to List

Nerve Block Gallery - Popliteal Sciatic Nerve Block for Foreign Body Removal

Caption

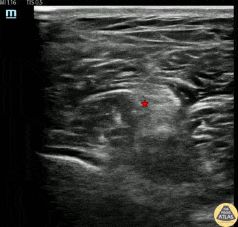
30s M presented with a nailgun injury after he unintentionally fired a nailgun into his booted foot. To facilitate removal, a popliteal sciatic nerve block was performed. The block is shown here, where a 20g block needle was advanced using in-plane guidance until the needle tip was visualized adjacent to the sciatic nerve. Anesthetic spread was visualized within Vloka’s sheath, the nerve sheath which encompasses the sciatic nerve as well as its branches (common peroneal and tibial nerves). A total of 20cc of anesthetic was injected. The patient had complete resolution of his pain shortly thereafter, and the nail was able to be removed without difficulty. Dr. Brigit Noon, PGY3 Denver Health Residency in Emergency Medicine

Source

https://www.thepocusatlas.com/nerve-blocks-gallery


Metadata