Nerve Block Gallery - Median Nerve Block for Laceration Repair

← Back to List

Nerve Block Gallery - Median Nerve Block for Laceration Repair

Caption

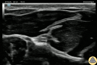
30s M presented with a laceration to his thenar eminence. He was neurovascularly intact, and there was no concern for retained foreign body or fracture. To facilitate laceration repair, a median nerve block was performed. Shown here, the median nerve is seen in the fascial plane between the muscle bellies of the flexor digitorum superficialis and flexor digitorum profundus. A 27g needle was advanced using in-plane guidance into the fascial plane, and after a negative aspiration for blood, anesthetic was injected, with spread of anesthetic visualized surrounding the median nerve. The patient had significant improvement in his pain, and the laceration was able to be irrigated and repaired. Dr. Michael Heffler, Fellow Denver Health Ultrasound Fellowship

Source

https://www.thepocusatlas.com/nerve-blocks-gallery


Metadata