Nerve Block Gallery - Popping through the Fascia Iliaca

← Back to List

Nerve Block Gallery - Popping through the Fascia Iliaca

Caption

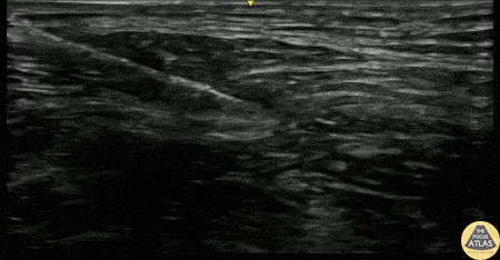
A 60s F presented with hip pain after a recent fall. Radiographs showed a subacute femoral neck fracture. To aid with pain control, a fascia iliaca compartment nerve block was performed. The needle is seen here popping through the fascia iliaca, just superficial to the iliacus muscle, before injecting anesthetic just below the fascia iliaca. This injection was somewhat intramuscular. The expansion of the anesthetic pocket with injection and collapse when injection is paused helps confirm that anesthetic is spreading along the fascial plane rather than pooling in a contained area within muscle. Joseph Ponce, PGY-3 Denver Health Residency in Emergency Medicine

Source

https://www.thepocusatlas.com/nerve-blocks-gallery


Metadata