Nerve Block Gallery - Fascia Iliaca Block for Femoral Neck Fracture

← Back to List

Nerve Block Gallery - Fascia Iliaca Block for Femoral Neck Fracture

Caption

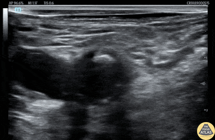
A 90s year old female presented with hip pain after a fall off of a couch. Her workup confirmed an isolated femoral neck fracture in addition to acute metabolic encephalopathy and dementia. To provide analgesia while avoiding further sedation medications given her altered mental status, a fascia iliaca block was offered. After an informed consent conversation with the patient’s MDPOA, the block was performed as shown here. The needle is seen entering from the lateral aspect, injecting anesthetic along the fascia iliaca lateral to the femoral neurovascular bundle. This patient had improved pain and was able to be admitted for further management. Dr. Cheyenne Smith, PGY3 Denver Health Residency in Emergency Medicine

Source

https://www.thepocusatlas.com/nerve-blocks-gallery


Metadata