Nerve Block Gallery - Interscalene Brachial Plexus Block for Shoulder Dislocation

← Back to List

Nerve Block Gallery - Interscalene Brachial Plexus Block for Shoulder Dislocation

Caption

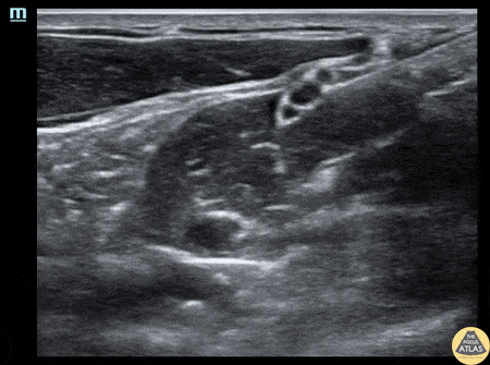
A 20s M with past medical history of prior shoulder dislocations presented with atraumatic shoulder pain and decreased range of motion after he felt a pop while playing sports and reaching across his body. He was found to have an anterior shoulder dislocation without fracture or neurovascular compromise. To facilitate reduction without procedural sedation, an interscalene brachial plexus block was performed. Shown here, the needle enters from the lateral/posterior aspect and the tip is placed adjacent to the brachial plexus, which is seen as 3 hypoechoic circles in a relatively vertical line deep to the sternocleidomastoid muscle. Anesthetic is injected sequentially lateral, deep, medial, and then superficial to the brachial plexus. This patient had relief of pain and his shoulder was able to be reduced at bedside without additional sedation or analgesia. Dr. Larry Benjey, PGY3 Denver Health Residency in Emergency Medicine

Source

https://www.thepocusatlas.com/nerve-blocks-gallery


Metadata