Nerve Block Gallery - Fascia Iliaca Compartment Block for Hip Fracture

← Back to List

Nerve Block Gallery - Fascia Iliaca Compartment Block for Hip Fracture

Caption

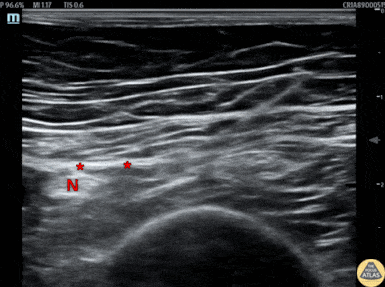
An elderly female presented with hip pain after an unwitnessed fall at her nursing home, and was found to have a shortened, rotated lower extremity, and after a broad workup was found to have a proximal femur fracture. To aid in pain control, a fascia iliaca block was performed under US guidance. The block is shown here, with the needle entering from the lateral aspect and injecting anesthetic in the fascia iliaca fascial plane. As seen by the very superficial femoral cortex, this 90s year old female was quite sarcopenic, so the normal muscular sonoanatomy is limited. The fascial spread seen in this clip helped to confirm appropriate placement of anesthetic. This patient was able to be admitted for surgery and had significant pain relief. Dr. James Sutton, PGY3 Denver Health Residency in Emergency Medicine

Source

https://www.thepocusatlas.com/nerve-blocks-gallery


Metadata