Nerve Block Gallery - Serratus Anterior Block

← Back to List

Nerve Block Gallery - Serratus Anterior Block

Caption

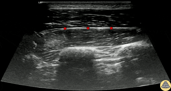
30s M presented with atraumatic acute onset chest pain in the context of inhaled marijuana use, and was found to have a spontaneous pneumothorax. The patient was hemodynamically stable, so a serratus anterior plane block was performed for analgesia and to facilitate pigtail chest tube placement. The block is shown here, with the fascial plane (*) between the serratus anterior muscle (deep) and latissmus dorsi (superficial). This block was performed using an out-of-plane approach, depositing anesthetic in to the fascial plane. This patient had mixed analgesic efficacy and so required additional anesthetic for chest tube placement, and was then admitted for further management. Dr. Cody Brevik, PGY4, Denver Health Residency in Emergency Medicine Dr. Nimish Bhatt, Fellow, Denver Health Ultrasound Fellowship

Source

https://www.thepocusatlas.com/nerve-blocks-gallery


Metadata