Bowel-GI - Free fluid and Collapsed Bowel

← Back to List

Bowel-GI - Free fluid and Collapsed Bowel

Caption

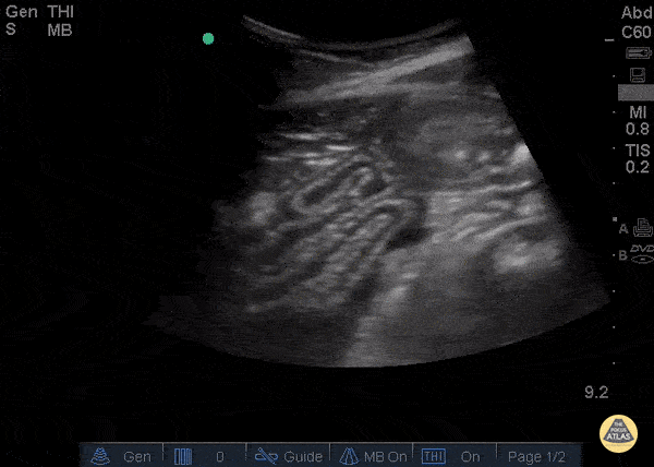
23 year old male with no known medical history s/p surgery for sigmoid volvulus presenting with severe lower mid-abdominal pain. Ultrasound showed trace free fluid and significant collapsed bowel with no peristalsis. CT scan findings were equivocal to our US findings. Patient was found to have bowel dehiscence in the operating room. Bowel wall is most easily seen when there is free fluid or ascites. Normal bowel has layered appearance, easily compressible with intermittent peristalsis. The most frequent pathological findings found by ultrasound is wall thickening, mucosal abnormalities, the absence of peristalsis (1). One benefit of point-of-care intestinal ultrasound is decision for early surgery. Sonographic findings suggesting a need for surgery include; intraperitoneal free fluid, bowel wall thickness of more than 4 mm, and decreased or absent peristalsis (2). Valette PJ, Rioux M, Pilleul F, Saurin JC, Fouque P, Henry L, Eur Radiol. 2001; 11(10):1859-66. Grassi R, Romano S, D'Amario F, Giorgio Rossi A, Romano L, Pinto F, Di Mizio R, The relevance of free fluid between intestinal loops detected by sonography in the clinical assessment of small bowel obstruction in adults. Eur J Radiol. 2004 Apr; 50(1):5-14. Dr Catharine Bon and Dr Bobak Zonnoor Kings County Emergency medicine

Source

https://www.thepocusatlas.com/bowel


Metadata