Nerve Block Gallery - Erector Spinae Plane Block for Pancreatitis

← Back to List

Nerve Block Gallery - Erector Spinae Plane Block for Pancreatitis

Caption

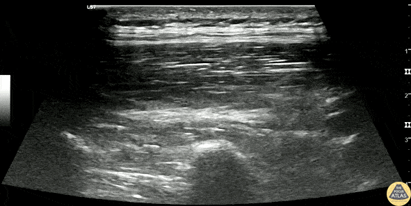
30s M PMH chronic pancreatitis presented with epigastric pain, failing conservative management and continuing to have breakthrough pain on his home PO opiates. He was scheduled to have a celiac plexus neurolysis later in the month with interventional radiology but presented for uncontrolled pain. He had been given multiple doses of IV opioids in ED without effective pain control. An US guided erector spinae plane block was performed as shown. The needle is seen entering in-plane with a probe placed in the sagittal plane, and advanced until touching the transverse process (*), and injecting anesthetic within the fascial plane between the transverse process and the erector spinae muscles. The patient had effective control of pain and was able to be discharged home. Dr. Nhu-Nguyen Le, Fellow Denver Health Ultrasound Fellowship

Source

https://www.thepocusatlas.com/nerve-blocks-gallery


Metadata