Nerve Block Gallery - Serratus Anterior Plane Block for Rib Fractures

← Back to List

Nerve Block Gallery - Serratus Anterior Plane Block for Rib Fractures

Caption

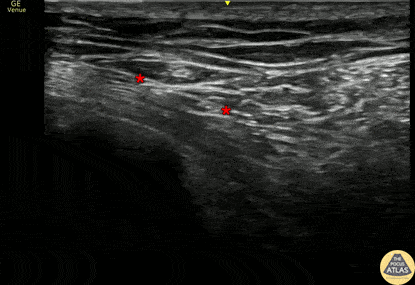
50s M presented with side pain after a fall, and on imaging was found to have multiple unilateral rib fractures without other injuries. In order to help with pain control, a serratus anterior plane block was performed. The block is shown here, with the needle entering from the posterior/lateral aspect and placing anesthetic in the fascial plane (*) superficial to the serratus anterior muscle and deep to the latissimus dorsi muscle. This patient had improvement in his pain and was able to be discharged. Dr. Riku Moriguchi, PGY3 and Dr. Smitha Bhaumik, PGY4 Denver Health Residency in Emergency Medicine

Source

https://www.thepocusatlas.com/nerve-blocks-gallery


Metadata