Nerve Block Gallery - Posterior Tibial Block for Frostbite

← Back to List

Nerve Block Gallery - Posterior Tibial Block for Frostbite

Caption

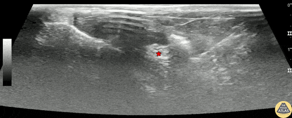
60s M presented with foot/toe pain in the setting of recent freeze/thaw frostbite. To aid in analgesia, a posterior tibial nerve block was performed. The block is shown here, with the needle entering from the posterior/medial aspect, depositing local anesthetic adjacent to the tibial nerve (*). The patient had improvement of his pain and was subsequently able to be discharged. Dr. Tyler Prince, PGY1 Denver Health Residency in Emergency Medicine Dr. Nimish Bhatt, Fellow Denver Health Ultrasound Fellowship

Source

https://www.thepocusatlas.com/nerve-blocks-gallery


Metadata