Nerve Block Gallery - Fascia Iliaca Nerve Block for GSW

← Back to List

Nerve Block Gallery - Fascia Iliaca Nerve Block for GSW

Caption

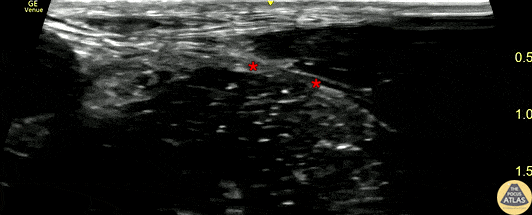
Teenaged male presented with a single GSW to the medial thigh. The trauma evaluation revealed a displaced and shortened transverse femur fracture. To facilitate traction pin placement and provide analgesia, a fascia iliaca block was performed. The block is shown here, with the needle is seen entering from the lateral aspect and depositing local anesthetic just deep to the fascia iliaca (*), lateral to the pulsating femoral artery. The patient had improvement of his pain and was able to be admitted to the surgical floor for operative repair the next morning. Dr. Phillip Breslow, PGY3 Denver Health Residency in Emergency Medicine

Source

https://www.thepocusatlas.com/nerve-blocks-gallery


Metadata