Bowel-GI - Enlarged pylorus with gastric outlet obstruction

← Back to List

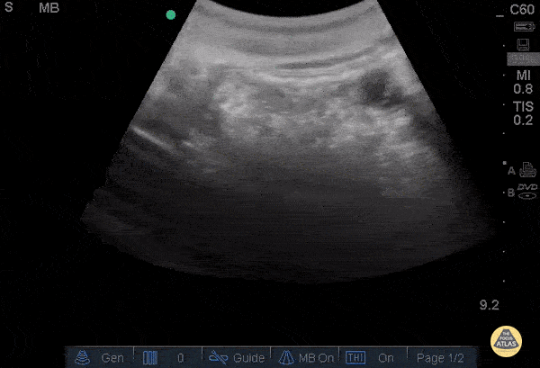
Bowel-GI - Enlarged pylorus with gastric outlet obstruction

Caption

28 y/o F no significant PMH with 1 month epigastric abdominal pain associated with daily emesis in the mornings and postprandial discomfort.. Patient notes she feels a firmness in her epigastrium. POCUS with an enlarged pylorus with gastric outlet obstruction, confirmed with formal sono. Admitted and evaluated with EGD by GI, found to have peptic ulcer in the antrum with edema and degree of gastric outlet obstruction. Dr. Adrian Aurrecoechea, Dr. Andrew Aherne - Kings County Hospital

Source

https://www.thepocusatlas.com/bowel


Metadata