Nerve Block Gallery - Popliteal Sciatic Block

← Back to List

Nerve Block Gallery - Popliteal Sciatic Block

Caption

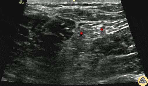
40s M presented with a laceration to the lateral lower leg after jumping through a window. To facilitate laceration irrigation and repair, a sciatic nerve block was performed at the popliteal fossa. The patient was placed in the contralateral decubitus position, and the linear probe was placed in the popliteal fossa in a transverse orientation to identify the sciatic nerve just proximal to the bifurcation into tibial and common peroneal nerves. This image shows the nerve block, with the needle entering from the lateral aspect, depositing anesthetic within Vloka’s sheath which surrounds the sciatic, tibial, and common peroneal nerves at the bifurcation. The block was performed just at the level of the bifurcation, and the tibial and common peroneal nerves are marked by the red asterisk (*) here. The patient had relief of pain, and the irrigation and laceration repair were able to be performed without any additional local anesthetic. Dr. Rachel Vanderwel, PGY3, and Dr. Michael Heffler, PGY4 Denver Health Residency in Emergency Medicine

Source

https://www.thepocusatlas.com/nerve-blocks-gallery


Metadata