Nerve Block Gallery - Interscalene Block

← Back to List

Nerve Block Gallery - Interscalene Block

Caption

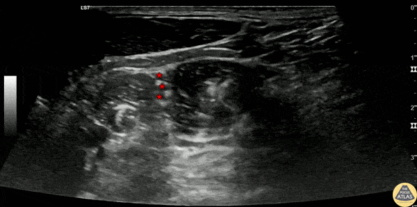
20s M with history of shoulder dislocations in the past presented with shoulder pain after boxing. He had a visible deformity to the shoulder, and radiographs confirmed an anterior glenohumeral dislocation. After documentation of a neurovascular exam, an interscalene nerve block was performed to facilitate reduction. The block is shown here, first with identification of the brachial plexus nerve roots (*) between the anterior and middle scalene muscles. The second part of the clip shows injection of anesthetic in the interscalene groove adjacent to the nerve roots. This patient had quick pain relief and closed reduction was achieved easily without sedation. Tanner Muggli, PGY1 Denver Health Residency in Emergency Medicine

Source

https://www.thepocusatlas.com/nerve-blocks-gallery


Metadata