Nerve Block Gallery - Lateral femoral cutaneous nerve block

← Back to List

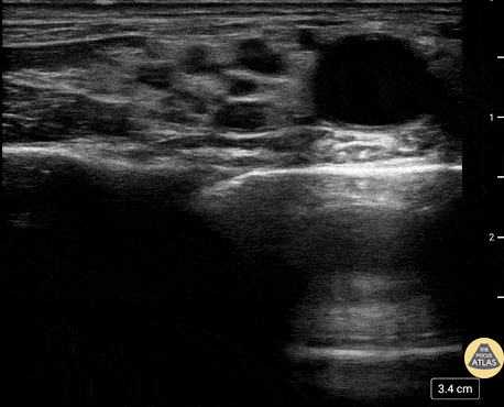
Nerve Block Gallery - Lateral femoral cutaneous nerve block

Caption

Lateral femoral cutaneous nerve block. Clip attached is one of the actual block being performed for a male patient with a large vertical laceration along the lateral aspect of the proximal thigh. Tom Jelic @tomjelic

Source

https://www.thepocusatlas.com/nerve-blocks-gallery


Metadata