Nerve Block Gallery - Supraclavicular Nerve Block

← Back to List

Nerve Block Gallery - Supraclavicular Nerve Block

Caption

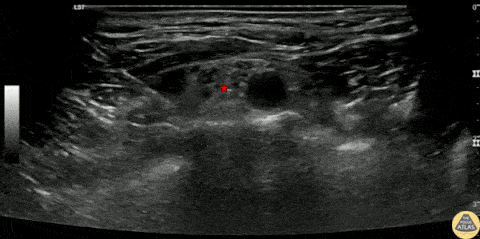
60s F presented with arm pain after a fall out of a wheelchair, and was found to have a proximal humerus fracture. A supraclavicular brachial plexus block was placed for analgesia. The brachial plexus is seen here, lateral to the pulsating subclavian artery, superficial to the first rib. The block is shown with the needle entering from the lateral aspect, depositing anesthetic adjacent to the brachial plexus just superficial to the first rib, which acts as a physical backstop, helping reduce the risk of inadvertent pneumothorax. Pleural slide is seen deep to the first rib lateral and medial , highlighting the proximity and underscoring the importance of keeping the entire needle in view during the entire nerve block procedure. This patient had improvement in their pain and was able to be discharged home. Dr. Greg Wiener, PGY4 Denver Health Residency in Emergency Medicine

Source

https://www.thepocusatlas.com/nerve-blocks-gallery


Metadata