Nerve Block Gallery - Serratus Anterior Plane Block for PTX

← Back to List

Nerve Block Gallery - Serratus Anterior Plane Block for PTX

Caption

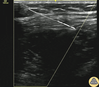
20s M presented with acute onset atraumatic chest pain, and was found to have a large spontaneous pneumothorax on chest radiography. To augment pain control for chest tube placement, a serratus anterior plane block was placed using 20 mL of 0.5% bupivacaine and 20 mL of 1% lidocaine. The block is shown here, where the needle is seen in-plane instilling anesthetic in the plane between latissimus dorsi superficially and serratus anterior deeply. The anechoic pocket of anesthetic is seen to spread between the two muscles and dissipates quickly after injection is paused, indicating successful placement. This patient had adequate pain control and was able to have a pigtail chest tube placed and was admitted to the hospital. Dr. Matthew Riscinti, Fellowship Director Denver Health Ultrasound Fellowship

Source

https://www.thepocusatlas.com/nerve-blocks-gallery


Metadata