Nerve Block Gallery - Supraclavicular Brachial Plexus Block

← Back to List

Nerve Block Gallery - Supraclavicular Brachial Plexus Block

Caption

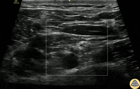
40s M presented with shoulder pain after a fall at work, and radiographs confirmed a proximal humerus fracture. As the patient was neurovascularly intact and had a closed fracture, conservative management in a sling was planned by orthopedic surgery. To augment pain control, a supraclavicular brachial plexus block was performed using bupivacaine and dexamethasone. The block is shown here, with color doppler first used to identify the carotid artery and confirm the absence of vascular flow in the region of the brachial plexus. The supraclavicular brachial plexus is seen at the center right of the image, just lateral and adjacent to the pulsating carotid artery with color flow. The first rib is seen just deep to the artery and plexus, providing a physical backstop to avoid inadvertent pneumothorax. An in-plane technique was used to advance the needle and anesthetic was deposited just superficial to the brachial plexus. The patient had improvement of his pain and was able to be discharged with outpatient orthopedic follow up. Dr. Lindsay Howe, PGY3 Denver Health Residency in Emergency Medicine

Source

https://www.thepocusatlas.com/nerve-blocks-gallery


Metadata