Nerve Block Gallery - Sub-Serratus Anterior Plane Block for GSW

← Back to List

Nerve Block Gallery - Sub-Serratus Anterior Plane Block for GSW

Caption

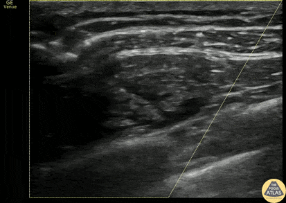
20s M presented after GSW to the chest, and sustained a hemothorax requiring non-emergent chest tube placement. To augment pain control, a serratus anterior plane block was performed with bupivacaine. The block is shown here, with infiltration of the hypoechoic anesthetic deep to the serratus anterior muscle, just above the rib and intercostal muscles. Anesthetic could alternatively be placed in the fascial plane between serratus anterior and latissimus dorsi, which is the fascial plane seen superficial to the anesthetic in this clip. This patient was able to have a chest tube placed with adequate analgesia and without complication and was admitted for further management of his GSW. Dr. Olivia Serigano, PGY4 Denver Health Residency in Emergency Medicine

Source

https://www.thepocusatlas.com/nerve-blocks-gallery


Metadata