Nerve Block Gallery - Erector Spinae Plane Block

← Back to List

Nerve Block Gallery - Erector Spinae Plane Block

Caption

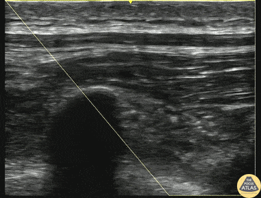
60s M presented after bicycle crash, and was found to have multiple unilateral rib fractures. To aid with pain control, an erector spinae plane block was placed using bupivacaine. The block is shown here, with the needle approaching in plane from the right of the screen (inferior). The first few seconds of the clip show the anatomy from lateral to medial, with the posterior rib with associated pleura seen, before the more medial transverse process is seen, without associated pleura. The target of anesthetic spread is the fascial plane (*) between the transverse process and the overlying erector spinae muscle. The second half of the clip shows administration of anesthetic with spread visible along the target fascial plane. Dr. Matthew Riscinti, Fellowship Director Denver Health Ultrasound

Source

https://www.thepocusatlas.com/nerve-blocks-gallery


Metadata