Nerve Block Gallery - Supraclavicular Nerve Block

← Back to List

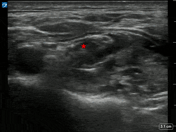
Nerve Block Gallery - Supraclavicular Nerve Block

Caption

In plane supraclavicular nerve block used for pain management in a patient with a mid shaft humerus fracture. Spread of anesthetic can be seen around the brachial plexus bundle (*). Michael Macias

Source

https://www.thepocusatlas.com/nerve-blocks-gallery


Metadata