Nerve Block Gallery - Posterior Tibial Nerve Block for Heel Wounds

← Back to List

Nerve Block Gallery - Posterior Tibial Nerve Block for Heel Wounds

Caption

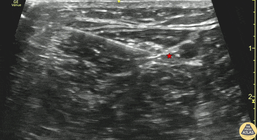
30s M presented with foot pain after his foot was run over by a car while he was riding a moped. He had lacerations over the plantar aspect of his foot without underlying fracture on XR. To facilitate wound irrigation and dressing, a posterior tibial nerve block was performed. The block is shown here, with the medial malleolus just out of view to the right of the image. The needle approaches in plane from the posterior aspect, and deposits anesthetic adjacent to the posterior tibial nerve (*). The posterior tibial artery is seen pulsating just anterior (right of screen) to the nerve. The patient had anesthesia achieved and his wounds were able to be irrigated and dressed. Dr. Carleigh Benton, PGY-4 Denver Health Residency in Emergency Medicine

Source

https://www.thepocusatlas.com/nerve-blocks-gallery


Metadata