Nerve Block Gallery - Interscalene

← Back to List

Nerve Block Gallery - Interscalene

Caption

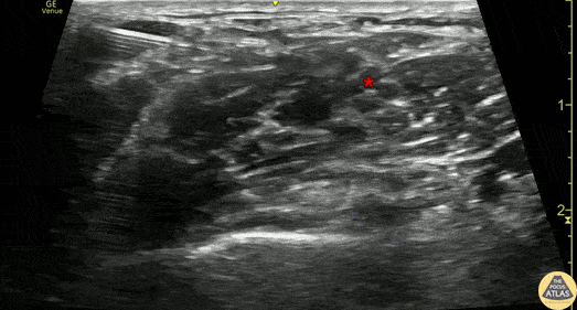
30s M with past medical history of recurrent shoulder dislocations who had failed prior surgery presented with anterior shoulder dislocation. An interscalene nerve block was performed for analgesia to facilitate reduction. After confirmation and documentation of intact neurovascular exam, the nerve block was performed as shown. The needle is seen entering from the posterior aspect (left of screen), and is instilling local anesthetic which surrounds the brachial plexus (*). The patient had significantly improved pain after the nerve block but ultimately did require further sedation to overcome muscle spasm in order to facilitate successful reduction. Dr. Michael Heffler, PGY3 Denver Health Residency in Emergency Medicine

Source

https://www.thepocusatlas.com/nerve-blocks-gallery


Metadata