Nerve Block Gallery - Fascia Iliaca Block for Distal Femur Fracture

← Back to List

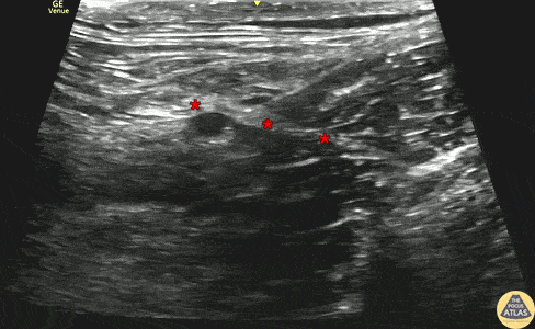
Nerve Block Gallery - Fascia Iliaca Block for Distal Femur Fracture

Caption

70s F presented with lower extremity pain after a mechanical trip and fall on the stairs. She arrived with a closed deformity of the distal thigh, and radiographs confirmed a comminuted distal femur fracture. A fascia iliaca block was performed for analgesia and to facilitate traction pinning. The block is shown here, with the needle entering from the lateral aspect (screen right) and depositing anesthetic just deep to the fascia iliaca (*) which lies deep to the sartorius muscle and superficial to the iliacus muscle. The patient had significant relief soon after the block and was able to be admitted for surgery. Dr. Michael Heffler, PGY3, Dr. Spencer Tomberg, Attending Denver Health Residency in Emergency Medicine

Source

https://www.thepocusatlas.com/nerve-blocks-gallery


Metadata