Bowel-GI - Bowel Gas

← Back to List

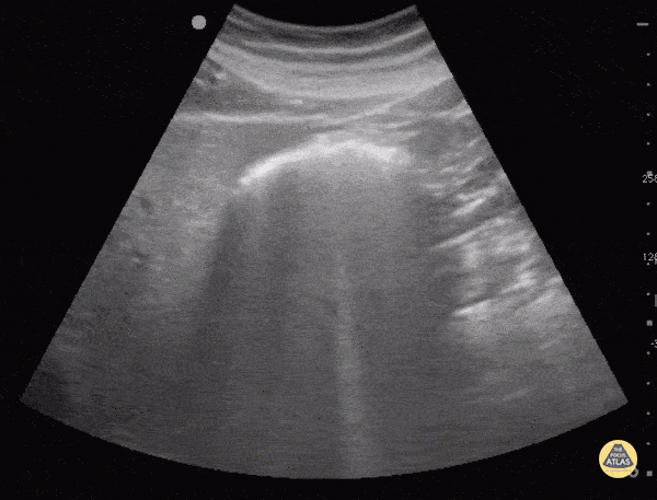
Bowel-GI - Bowel Gas

Caption

Bowel gas scatters ultrasound waves making the structure containing the gas as well as posterior structures difficult to visualize. Applying more gentle graded pressure to the probe may displace the gas and improve visualization. Sukh Singh, MD

Source

https://www.thepocusatlas.com/bowel


Metadata