Nerve Block Gallery - Popliteal Sciatic Nerve Block

← Back to List

Nerve Block Gallery - Popliteal Sciatic Nerve Block

Caption

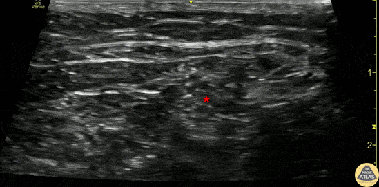
30s M presented with foot pain after an accidental injury from a lawn mower blade. Found to have a large laceration and open metatarsal fracture. A popliteal sciatic nerve block was performed for pain control overnight while the patient awaited surgery the next morning. The block is shown here, with the needle entering from the lateral aspect (right of screen), injecting anesthetic adjacent to the sciatic nerve (*) in the popliteal fossa. The patient had improved pain control and was admitted for surgery. Megan Foy, MS4, University of Colorado School of Medicine Dr. Adam Esch, PGY4, Denver Health Residency in Emergency Medicine

Source

https://www.thepocusatlas.com/nerve-blocks-gallery


Metadata