Nerve Block Gallery - Serratus Anterior Plane Block for Chest Tube Placement

← Back to List

Nerve Block Gallery - Serratus Anterior Plane Block for Chest Tube Placement

Caption

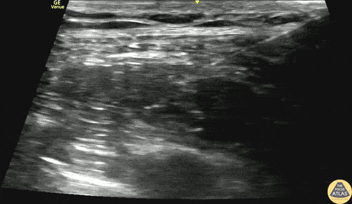
20s F presented with chest pain after a trigger point injection to the back at a chiropractic appointment, found to have a large pneumothorax. To facilitate analgesia for chest tube placement, a serratus anterior plane block was performed under ultrasound guidance. Seen here, the needle is entering from the posterior aspect, and deposits anesthetic in the plane between serratus anterior and latissimus dorsi. The patient had improved pain and was able to have a tube thoracostomy performed, and she was admitted for further observation. Dr. Mark Serpico, PGY3 and Dr. Molly Thiessen, Ultrasound Fellowship Director Denver Health Residency in Emergency Medicine

Source

https://www.thepocusatlas.com/nerve-blocks-gallery


Metadata