Nerve Block Gallery - Interscalene Nerve Block

← Back to List

Nerve Block Gallery - Interscalene Nerve Block

Caption

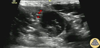
20s M with PMH recurrent shoulder dislocation presented with shoulder pain and concern for dislocation. Radiographs confirmed anterior glenohumeral dislocation and showed a Hill-Sachs deformity. An interscalene brachial plexus block was performed for analgesia. The block is shown here, with the needle entering from the lateral aspect or left of screen, injecting anesthetic adjacent to the nerve roots (*) within the interscalene groove. The patient had good pain control with the block, allowing easy bedside reduction without additional parenteral medications or conscious sedation. Repeat radiographs confirmed adequate reduction of the dislocation and the patient was discharged with orthopedic follow up. Dr. Molly Thiessen Denver Health Medical Center

Source

https://www.thepocusatlas.com/nerve-blocks-gallery


Metadata