Bowel-GI - Perforated Appendicitis

← Back to List

Bowel-GI - Perforated Appendicitis

Caption

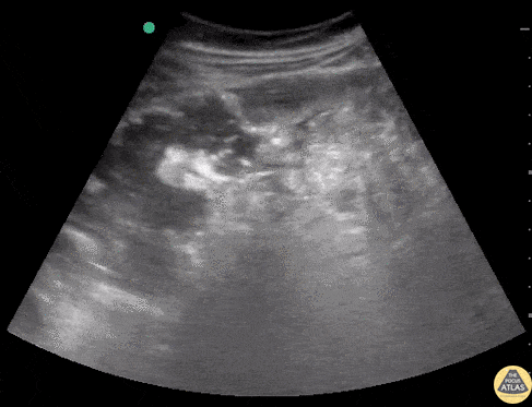
30 y/o F with chills, constipation for 3 days. Normal labs and vitals, but distinctly tender in the RLQ. POCUS revealed free fluid and surrounding bowel wall edema with a structure floating that is likely the appendix. CT confirms a perforated appendix with trace free air complex fluid and thickening of the adjacent bowel wall. Dr’s Sophia Sharifali, Esther Kwak, and John F Kilpatrick - Kings County/SUNY Downstate Emergency Medicine

Source

https://www.thepocusatlas.com/bowel


Metadata