Nerve Block Gallery - Fascia Iliaca Nerve Block for Femur Fracture

← Back to List

Nerve Block Gallery - Fascia Iliaca Nerve Block for Femur Fracture

Caption

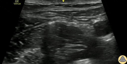
A 20s F was brought in by ambulance after she was struck by a vehicle. She had an obvious closed deformity to her thigh. Initial trauma workup was negative for other injuries, she remained awake/alert and hemodynamically stable, and was neurovascularly intact distally. After orthopedic consultation, a fascia iliaca nerve block was performed for analgesia in preparation for distal femur traction pin placement. The needle here enters from left of screen (lateral), injecting anesthetic just deep to the fascia iliaca, and spreading adjacent to the femoral nerve, which is seen to the left of (lateral to) the pulsating femoral artery. The patient had improvement of her pain, traction pinning was performed, and she was admitted for surgery. Dr. Arian Anderson, PGY4 Denver Health Residency in Emergency Medicine

Source

https://www.thepocusatlas.com/nerve-blocks-gallery


Metadata